تآكل اللثة: الأعراض والأسباب وطرق العلاج والوقاية

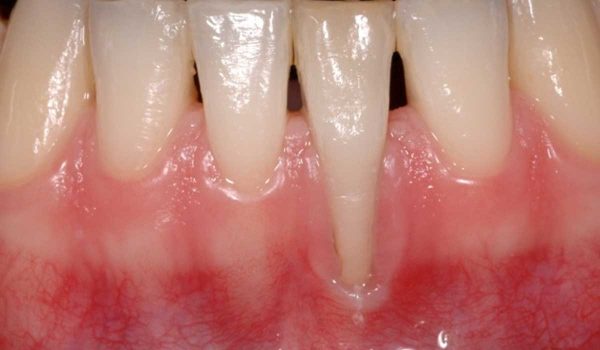
تآكل اللثة، المعروف أيضاً بانحسار أو ركود اللثة، هو حالة تتراجع فيها أنسجة اللثة من حول الأسنان، ما يجعل الأسنان تبدو أطول من المعتاد ويكشف جزءاً أكبر من سطحها.
هذه الحالة قد تحدث ببطء، لذا من المهم مراقبة اللثة يومياً وحجز موعد مع طبيب الأسنان عند ملاحظة أي تغيّر.
أعراض تآكل اللثة:
انكشاف المزيد من الأسنان بسبب تراجع اللثة.
رائحة فم كريهة.
تورم أو احمرار في اللثة.
طعم غير مستساغ في الفم.
اهتزاز أو تخلخل الأسنان أحياناً.
تغير طريقة الإطباق بين الأسنان.
شعور بالألم أو رقة في اللثة.
تآكل اللثة يجعلها أكثر عرضة لنمو البكتيريا، لذلك تعتبر الفحوصات الدورية والعناية اليومية بالفم أساسية للوقاية.
أسباب تآكل اللثة:
هناك عدة عوامل يمكن أن تؤدي إلى تراجع اللثة، من أبرزها:
أمراض اللثة المزمنة.
التغيرات الهرمونية.
استخدام فرشاة أسنان صلبة أو طريقة تنظيف خاطئة.
التدخين أو ضعف العناية بصحة الفم.
بعض الأمراض المزمنة مثل السكري.
طرق العلاج والوقاية:
تنظيف الأسنان بلطف باستخدام فرشاة ناعمة ومعجون مناسب.
استخدام خيط الأسنان بانتظام.
زيارة طبيب الأسنان لإزالة الترسبات الجيرية وعلاج أي أمراض في اللثة.
في الحالات المتقدمة، قد يلجأ الطبيب إلى جراحة ترقيع اللثة أو إجراءات خاصة لإعادة بناء أنسجة اللثة.
الحفاظ على نظام غذائي صحي غني بالفيتامينات والمعادن لدعم صحة الفم.
مراقبة اللثة يومياً والعناية بصحة الفم تعد من أهم الخطوات للحد من تدهور هذه الحالة وضمان صحة الأسنان على المدى الطويل.



